Пон - Пет | 9:30 - 16:30
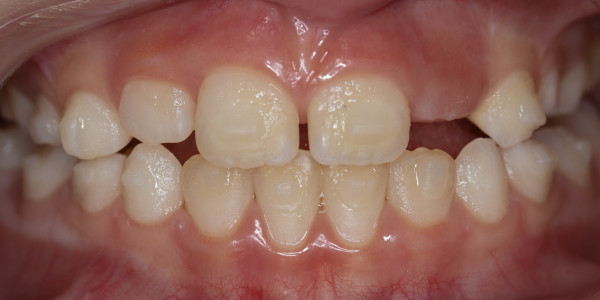
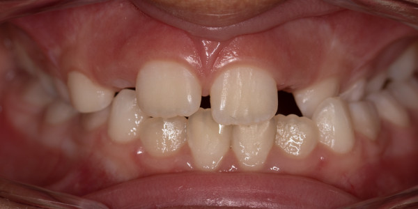
Ранно ортодонтско лечение на дете на 8 години с липса на място за пробив на постоянните странични резци и дълбока захапка Ранно ортодонтско лечение на дете на 8 години с липса на място за пробив на постоянните странични резци и дълбока захапка
Ранно ортодонтско лечение на дете на 8 години с липса на място за пробив на постоянните странични резци и дълбока захапка
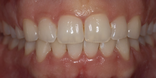
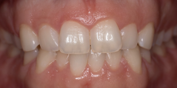
Лечение на дълбока  и дистална захапка при възрастен пациент Лечение на дълбока  и дистална захапка при възрастен пациент
Лечение на дълбока и дистална захапка при възрастен пациент
Лечение на кръстосана захапка във фронталния участък при пациент на 17 години Лечение на кръстосана захапка във фронталния участък при пациент на 17 години
Лечение на кръстосана захапка във фронталния участък при пациент на 17 години
Лечение на кръстосана захапка в страничен участък при дете на 7 години Лечение на кръстосана захапка в страничен участък при дете на 7 години
Лечение на кръстосана захапка в страничен участък при дете на 7 години
Лечение на струпване в горна и долна челюст с алайнери Лечение на струпване в горна и долна челюст с алайнери
Лечение на струпване в горна и долна челюст с алайнери
Cookie